Last month’s newsletter covered the journey from POCUS practitioner to POCUS teacher.
This month, we’ll continue to broaden our lens to the role of mentoring learners. Just like anyone can build POCUS teaching skills – often at a much earlier stage in their POCUS knowledge than they think – anyone can build POCUS mentorship skills and help support others in learning POCUS.
As you engage with more learners, it is natural for you to take on a mentor role for some of them. Mentorship involves longitudinal support in goal-setting and skill-building. You may be a formal mentor as part of an ultrasound curriculum, or you may be an informal mentor. Mentorship takes effort and time, so if you are being asked by your institution to mentor learners in a substantial way, this is a good opportunity to ask for support through compensation or allocated time.
Likewise, at any point in your POCUS journey, you may seek a mentor to help you on your path. The guide below can help you decide who to ask to be your mentor(s).
Some key aspects of POCUS mentorship include:
Helping the learner brainstorm their learning goals. For example, encourage the learner to reflect:
- Why do they want to learn POCUS?
- What is the clinical environment where they hope to practice POCUS?
- How do they hope that POCUS will change their practice?
Helping the learner brainstorm how they will achieve these goals:
- What supervision and learning resources do they need? (May come from you, your local institution, or involve GUSI’s acclaimed in-person or online courses, scan review, or fellowships)
- How will they integrate scanning practice into their current clinical environment (see blog post for details)
- What obstacles do they anticipate, and how can they overcome these obstacles (again, see blog post)
- What habits do they need to form in order to scan successfully?
Maintaining accountability and transmitting passion:
- Have regular check-ins about learning progress and how they match up to the goals
- Modify goals over time as needed
- Seek new opportunities for mentees to learn and teach POCUS
- Transmit the mentor’s passion for POCUS
- Help keep the learner connected to the joy of scanning
It takes a village
Not all of these aspects of mentorship need to be done by the same person. If you are seeking mentorship, you may find one mentor to help initially brainstorm and provide guidance, and another to help provide accountability over time.
Near-peer mentor or accountability buddy
As you can see from the examples above, many aspects of mentorship actually don’t require significant POCUS experience. If you are learning POCUS with a friend, you can be a sounding board for each other in developing goals and checking in on each other’s progress.
The next steps
If you or your institution are seeking more robust longitudinal POCUS learning and mentorship, you can reach out to GUSI for guidance – a GUSI fellowship program or POCUS consultation may be right for you.
(See here the answer for the case published on GUSI’s social media on September 26, 2024)
A learning case in POCUS and Infectious Diseases
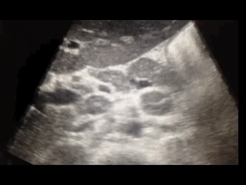
A 35 male year old patient in Malawi presents with 3 months of chronic night sweats, low grade fevers and weight loss. He has a history of HIV and on ART’s. His TB sputum smear test is negative and a chest x-ray is negative. You decide to perform a FASH exam. The following image is a transabdominal ultrasound, transverse of the midline.
What is your diagnosis?

Answer: B. Extrapulmonary Tuberculosis. The circular hypoechoic rings with hyperechoic borders and hyperechoic centers are abdominal lymph nodes, a finding present as part of the FASH protocol.
In extrapulmonary tuberculosis (TB), para-aortic lymph nodes can become enlarged due to infection. This is more commonly observed in patients who are immunocompromised, such as those with HIV. Sonographically, these lymph nodes usually appear hypoechoic and rounded due to loss of internal structures caused by caseous necrosis. The lymphadenopathy may be discrete, or nodes might be conglomerated into larger masses .
When using ultrasound to detect these nodes, they are visualized as hypoechoic structures, sometimes appearing to blink as the probe moves, distinguishing them from vessels that have consistent flow patterns. Enlarged nodes are typically over 1.5 cm in size in adults .
The presence of enlarged para-aortic lymph nodes in ultrasound, especially in the context of other findings such as splenic microabscesses, supports a diagnosis of abdominal TB in suspected cases.
References:
- Lighthouse Ultrasound Manual for HIV and TB Clinicians — Chapter 5: Ultrasound of Abdominal Lymph Nodes and Spleen: The FASH Protocol
- FASH Pathology & Pitfalls in GUSI Courses GUSI Additional Topics
- FASH Pathology & Pitfalls (summary) in GUSI Courses GUSI Additional Topics



